
人工関節手術を考える前に!
ひざの痛みを
そのままに
しない
米国最新式の手術のいらない
「切らないひざ関節治療」
をご提案します。

当院指導医
米国USC Hospital
足病外科医 Dr Chugo Rinoie

足と歩行の専門
クリニック

手術・入院不要

お体に
低負担な
注入治療
1,000
投与実績
件以上
Global podiatry clinic調べ
専門医による歩き方・レントゲン診断&治療プランのご提案【完全予約制】本治療は自由診療になります


こんなお悩みありませんか?
歩き始めに痛む
曲げ伸ばしにくい
痛んだり治ったりを繰り返す
水がたまる
正座・階段がつらい
歩けない、寝ていても痛む
「切らないひざ関節治療」で
お悩みの解消が期待できます!
院長 戸原 遼
リジェの “切らないひざ関節治療” の特徴
1
臍帯由来セクレトーム
臍帯(赤ちゃんの臍の緒)から得られる間葉系幹細胞の代謝物を関節内に投与し炎症を改善。

2
リハビリ併用
ひざの痛みの原因となるひざまたはそれ以外の関節(足関節など)の機能障害や筋肉の障害を同時にリハビリで治療。

3
歩行機能を解析
単なる炎症抑制ではなく、歩行に関する問題を検査。問題解決を行うことで再発につながりにくい治療を提案します。
4
装具治療併用
足首などの関節における姿勢不全などが、膝関節症の原因になる場合があり、装具による関節負担の軽減を提案します。
5
入院不要
注入治療のため、入院は不要です。投与後48時間は自宅で安静にする必要があります。(すぐの歩行再開は再発に繋がる恐れがあります)
6
他関節症との同時治療可
ひざのみならず、股関節痛や足首などの関節痛について、同時に治療を行うことが可能です。


お体に
低負担な
注入治療
人工関節手術を考える前に!
ひざの痛みを
そのままに
しない

足と歩行の専門
クリニック

手術・入院不要
専門医による歩き方・レントゲン診断&治療プランのご提案【完全予約制】本治療は自由診療になります

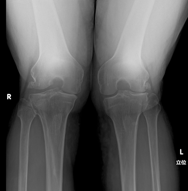
変形性膝関節症って?
変形性膝関節症(Osteoarthritis of the knee)は、膝関節の軟骨が徐々に摩耗し、骨同士が擦れ合って変形することで痛みや腫れ、関節の動きの制限などの症状が生じる病気です。これは、関節の機能が低下し、歩行や立ち上がりなどの日常生活動作に影響を与えることがあります。
【原因】
年齢:加齢により、軟骨の修復能力が低下し、関節への負担が増加します。
遺伝的要因:家族歴や遺伝的な要因が、関節の構造や軟骨の品質に影響を与えることがあります。
肥満:体重の増加により、関節への負担が増加し、軟骨の摩耗が進行します。
過去の怪我:関節の損傷や手術の経験がある場合、その部位に負担がかかり、二次性の変形性膝関節症のリスクが高まります。
職業的要因:立ち仕事や重い物を運ぶ仕事など、関節に繰り返し負担がかかる職業は、変形性膝関節症のリスクが高まることがあります。
ひざの痛みを放っておかないで
変形性膝関節症は進行性、
放っておくとどんどん痛みは大きく
痛みが強くなり、
最終的には立ち上がることも困難に
膝をかばうことで腰痛や他の痛みも悪化
歩行が困難になり、活動量が低下。
これに伴い筋力低下。負のサイクル
姿勢が悪くなり立ち姿に自信をもてない

クリニックの紹介
全国4院展開。
米国クリニック
との医療連携
(ダブルチェック)
豊富な症例実績
指導医は1,000例
以上の投与実績
歩き方検査・
荷重下レントゲン・MRIで
適応を診断
完全予約制
待ち時間なし
LINEで術後
フォロー&
ケア情報を発信
AIによる
画像解析診断支援


お体に
低負担な
注入治療
人工関節手術を考える前に!
ひざの痛みを
そのままに
しない

足と歩行の専門
クリニック

手術・入院不要
専門医による歩き方・レントゲン診断&治療プランのご提案【完全予約制】本治療は自由診療になります

変形性膝関節症の検査と治療ケア
1
バイオメカニクス診断
歩き方に合わせた最適な術式を決定。
2
レントゲン・MRI検査
膝関節症の症状を確認するためのMRI検査(外部機関)と足の骨格姿勢を荷重下レントゲンで検査。
3
術後装具によるケア
米国製治療用サンダルを使用し、術後の踏み返し防止をサポート。

4
リハビリ併用
ひざの痛みの原因となるひざまたはそれ以外の関節(足関節など)の機能障害や筋肉の障害を同時にリハビリで治療。
5
48時間の歩行制限
投与後48時間は自宅で安静にする必要があります。(すぐの歩行再開は再発に繋がる恐れがあります)
6
臍帯由来セクレトーム
臍帯(赤ちゃんの臍の緒)から得られる間葉系幹細胞の代謝物を関節内に投与し炎症を改善。
当院のセクレトームの特徴(有効成分)

セクレトームの品質安全検査内容

高い細胞活性を得る培養技術

細胞の品質とセクレトームの品質の関係

PRP治療との比較表
気をつけなければいけないポイント
1
本治療は失った骨や軟骨を再生する効能ではなく、組織の炎症を軽減し自己再生能力を高める治療です。
2
変形性膝関節症は骨格や歩き方に原因があり、歩き方を治療しない限り再発します。
3
セクレトームは投与後の刺激によって炎症を悪化させる場合があるため、一定期間の安静が必須です。
4
投与する箇所は炎症部位であり、関節内には限らず、複数の検査から投与箇所を決定する必要があります。
5
使用するセクレトームは日本再生医療学会ガイドラインに準拠しない場合、危険性があります。当院は準拠しています。

院長 戸原 遼
初回来院の流れ
1
2
3
4
5
6
7
来院予約
歩き方検査と荷重下レントゲン検査
事前カウンセリング
※手術でない保存療法への変更も相談可能
MRI検査(提携医療機関)精密検査の実施
※検査費用支払い発生
医師の診察&ご説明
※オンライン対応
事前採血検査&術後装具採型 &
リハビリ治療計画の提案(見積もり)
次回診察予約(治療予約)
よくある質問
Q1
必ずよくなるのでしょうか?
Answer
残念ながらその点についてはお約束いたしかねます。
Q2
支払いはどのタイミングで行いますか?
Answer
基本的には治療を受けられるご成約をされた際にお支払いいただきます。各種クレジットカードでは分割払いが可能です。
Q3
どういう人が来院していますか?
Answer
現在受けている治療で痛みが良くならない、手術は避けたい、長く続く痛みの原因がわからないなどのお悩みでご来院されています。ひざの痛みが重度の方はもちろんですが、最近では早めに治療しようという方のご来院も増えています。
Q4
保険適用ですか?
Answer
原則は自費診療のみ提供を行っております。


お体に
低負担な
注入治療
人工関節手術を考える前に!
ひざの痛みを
そのままに
しない

足と歩行の専門
クリニック

手術・入院不要
専門医による歩き方・レントゲン診断&治療プランのご提案【完全予約制】本治療は自由診療になります

原則は自費診療での提供を行っておりますが、保険適用を希望される方は提携する医療機関で
実施できる場合もありますので、まずはカウンセリングにお越しください。
足と歩行のクリニック rege 六本木院
〒106-0032 東京都港区六本木七丁目15番17号ユニ六本木ビル3階

LINEでのお問い合わせ
© 2024 by 足と歩行のクリニック rege 六本木院